Επιστημονική ομάδα του Ινστιτούτου Γνωσιακής Νευροεπιστήμης του Πανεπιστημίου του Λονδίνου, με επικεφαλής τον Δρ Τζόναθαν Ρόιζερ, υπέβαλλαν σε λειτουργική μαγνητική εγκεφαλική απεικόνιση (fMRI) 23 εθελοντές, ώστε να μπορέσουν να μελετήσουν καλύτερα την λειτουργία της ηνίας, μια εγκεφαλική δομή όχι μεγαλύτερη από ένα μπιζέλι.
Στο παρελθόν, η μελέτη της ηνίας είχε αποδειχθεί δύσκολη υπόθεση λόγω ακριβώς του μεγέθους της, που σε διάμετρο δεν ξεπερνά τα τρία χιλιοστά. Πειράματα σε ζώα είχαν δείξει ότι, η ηνία ενεργοποιείται όταν δυσάρεστα συμβάντα συμβαίνουν ή πρόκειται να συμβούν, ενώ έχει επίσης διαπιστωθεί ότι καταστέλλει τη δράση της ντοπαμίνης, που παίζει ζωτικό ρόλο στην ομαλή λειτουργία του εγκεφάλου και του ψυχισμού.
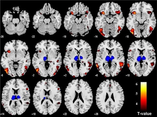
Οι ερευνητές ζήτησαν από τους εθελοντές να κοιτάξουν μια σειρά από εικόνες και, ύστερα από λίγα δευτερόλεπτα, μερικές εικόνες συνοδεύονταν από ήπιο ηλεκτροσόκ (τιμωρία), άλλες από ανταμοιβή (χρήματα) και οι υπόλοιπες από τίποτε από τα δύο. Αφού οι συμμετέχοντες είχαν πια μάθει να συσχετίζουν μια εικόνα με ένα μελλοντικό αρνητικό, θετικό ή ουδέτερο ερέθισμα, διαπιστώθηκε ότι κάθε φορά που έβλεπαν την εικόνα που είχε συνδεθεί με το επερχόμενο ηλεκτροσόκ, ενεργοποιούνταν η περιοχή της ηνίας στον εγκέφαλό τους.
Οι επιστήμονες υποστηρίζουν ότι, η εν λόγω περιοχή εξελίχτηκε για να βοηθά τα ζώα -και τους ανθρώπους- να μαθαίνουν από τις άσχημες εμπειρίες τους, έτσι ώστε να τις αποφεύγουν έγκαιρα στο μέλλον. Όμως αυτή η αντίδραση, αν είναι υπερβολική, μπορεί να δημιουργεί υπερβολική ανησυχία, απαισιοδοξία και τελικά κατάθλιψη.
Οι ειδικοί εκτιμούν ότι στο μέλλον, η «χειραγώγηση» της ηνίας, φαρμακευτικά ή με άλλο τρόπο, ενδεχομένως να μειώσει τα συμπτώματα της κατάθλιψης.
health.in.gr




